عملية إعادة تشكيل ملامح الوجه
استرجع ثقتك بنفسك مع جرين
عملية إعادة تشكيل عظام الوجه
استرجع ثقتك بنفسك مع جرين
ما هي عملية إعادة تشكيل عظام الوجه؟
إعادة تشكيل عظام الوجه هي عملية جراحية يتم إجراءها للمرضى الذين خضعوا بالفعل من قبل لجراحة تشكيل الوجه وحصلوا على نتائج غير مرضية. يتم إجراء عملية إعادة تشكيل عظام الوجه عندما تؤدي العملية السابقة إلى نتائج غير مرضية مثل تشوهات في عظمة الخد أو الفك، أو ملامح غير طبيعية، أو كانت النتائج خفيفة وغير مرئية
أمثلة على عملية إعادة تشكيل عظام الوجه
الحالة 1. تصغير غير كافي
قد يبدو الوجه لا يزال كبيرًا إن لم يتم تصغير عظم الفك أو الخد بشكل كافي في العملية السابقة
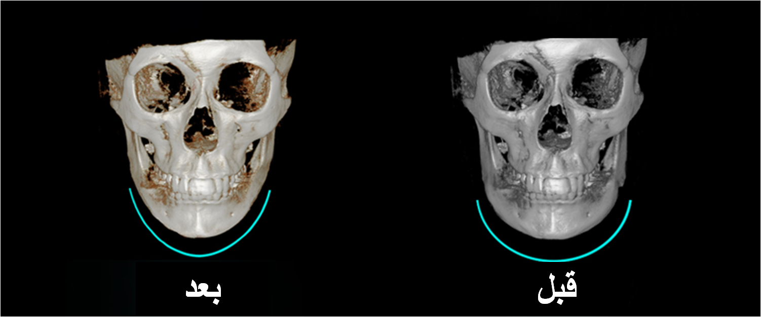
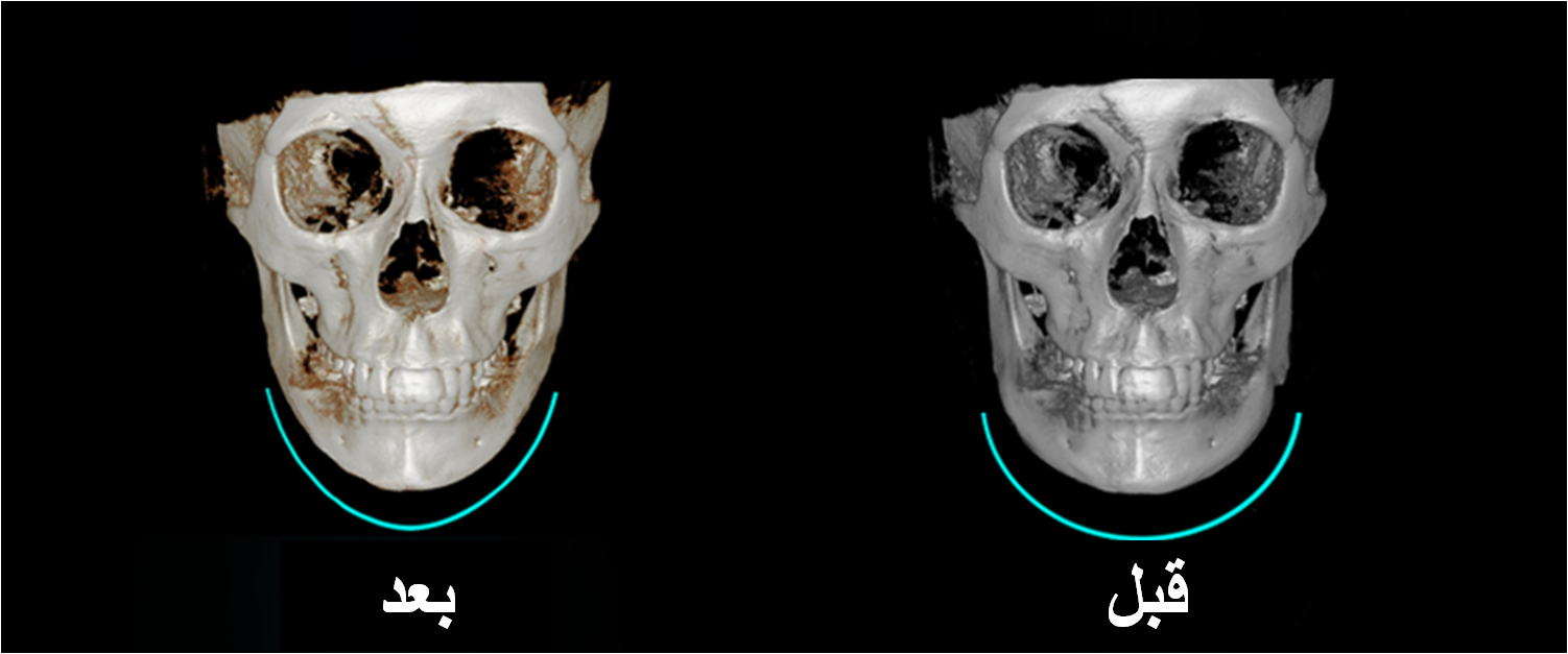
الحالة 2. عدم التناسق
قد تؤدي العملية السابقة إلى ملامح وجه غير متناسقة
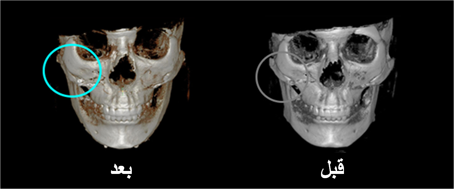
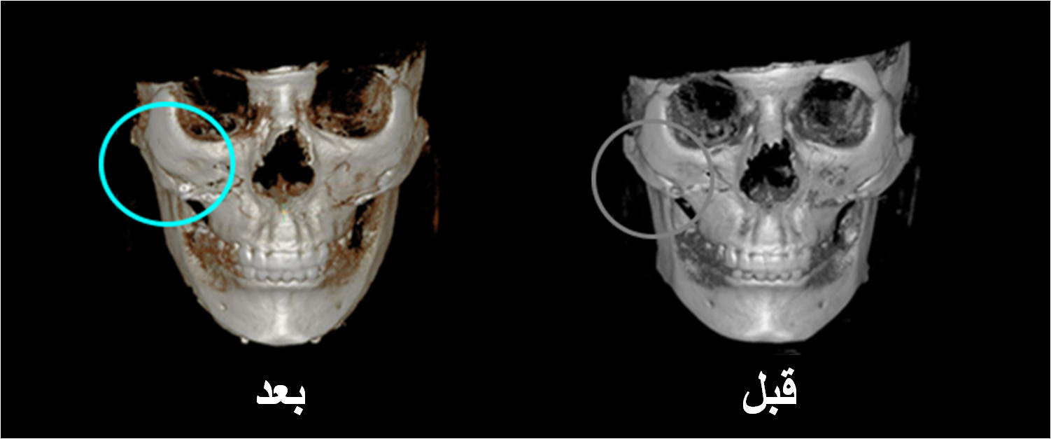
الحالة 3. سطح غير متساوٍ
قد تؤدي العملية السابقة إلى ظهور عظمة الخد أو الفك بشكل غير متساوي و به تضاريس
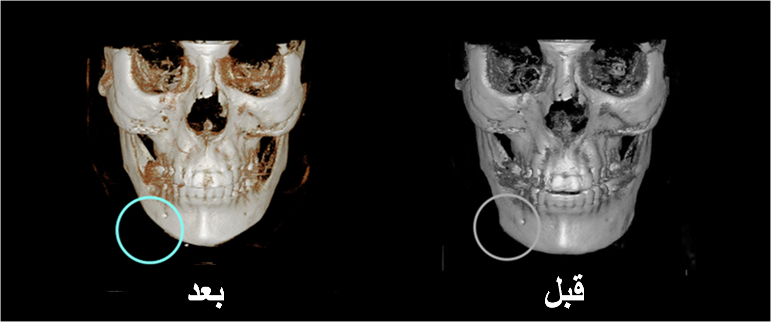
3D-CT يتم إعداد خطة جراحية دقيقة بعد تحاليل شاملة للبنية التشريحية من خلال فحص
الصور قبل وبعد
CASE 01
CASE 02
CASE 03
CASE 04
قبل وبعد
Case 01
Case 02
Case 03
Case 04